ИСТОРИЯ СПАСЕНИЯ: ХИРУРГИ ДЕТСКОЙ БОЛЬНИЦЫ ИМ. Г.Н. СПЕРАНСКОГО СПАСЛИ МАЛЫШКУ, ПРОГЛОТИВШУЮ ДВА КРУГЛЫХ МАГНИТА

 Девочку двух с половиной лет госпитализировали в больницу с инородными телами в брюшной полости. Всего за сутки два круглых магнита нанесли вред здоровью ребенка — детские хирурги зашили две «дырки» в кишечнике.

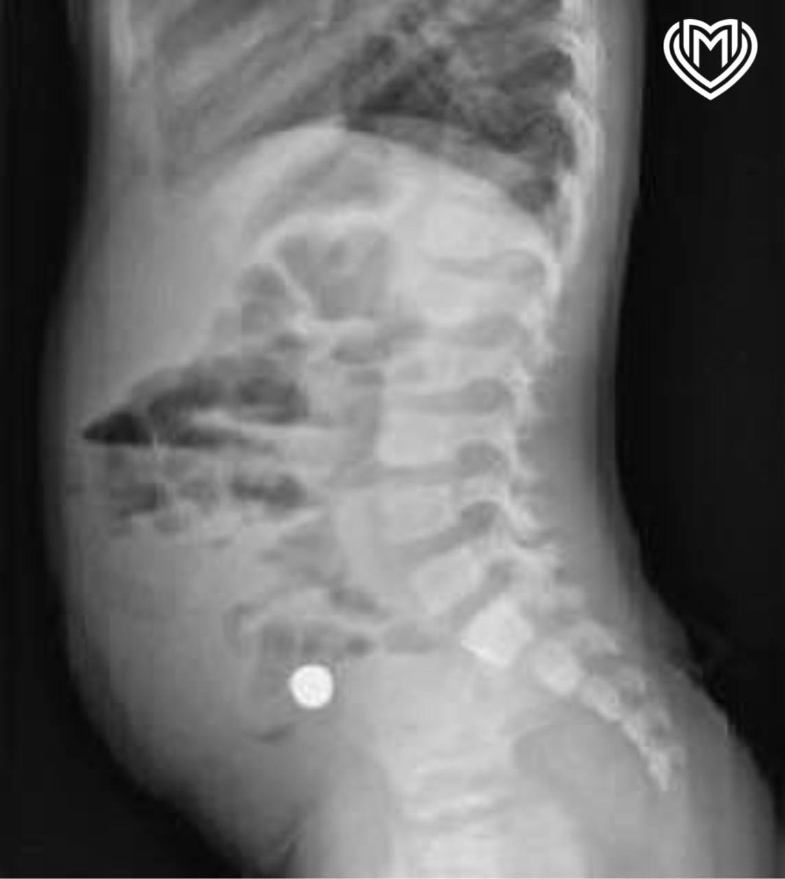
Предположительно, малышка накануне проглотила два круглых магнита размером 5 мм. У ребенка появились боли в животе, рвота, родители тут же вызвали скорую помощь.

Рентгенография показала, что инородные предметы «стоят» в правой подвздошной области.

Обычно, в этом случае делают лапаротомию. Мы использовали нетравматичный способ, через лапароскопические проколы обнаружили, что магниты слиплись между собой и зажали участок слепой и тонкой кишки. В месте стояния возник пролежень с участками перфорации, то есть образовались две «дырочки». Во время операции, магниты сдвинули, чтобы их разъединить. Затем их извлекли, а участки перфорации ушили», — рассказывает Игорь Хворостов, заведующий хирургическим отделением №1, д.м.н, профессор.

Магниты в разных частях кишечника притягиваются друг к другу и могут даже захватить другую петлю кишечника, что делает их самостоятельное продвижение невозможным. Сильное притяжение между магнитами вызывает эрозию слизистой оболочки и некроз стенки кишечника, что приводит к перфорации кишки, кишечной непроходимости, перитониту или образованию межкишечного свища.

«Что делать, если ребенок проглотил магнит? Не нужно: вызывать рвоту у ребенка, пытаться делать промывание желудка, давать что-то есть и пить. Необходимо срочно обратиться за медицинской помощью. Сообщите врачу, что ребенок проглотил инородное тело, когда и в каком количестве. Как правило, 80-90% — проглоченных предметов выходят естественным путем, 10-20% — требуют эндоскопического удаления, и около 1% инородных тел — операции», — добавил заведующий хирургическим отделением.

Через неделю девочку выписали домой полностью здоровой.